Link_Error
Link_Error
Link_Error
BG_ERROR

Znieczulenie ogólne

Zator tętnicy płucnej jest główną przyczyną chorobowości I śmiertelności wśród chorych poddawanych zabiegom kardiochirurgicznym w trybie pilnym, z całkowitą śmiertelnością wahającą się od 6% do aż 85%. Choć leczeniem pierwszego rzutu jest postępowanie niechirurgiczne lub interwencja przezskórna, to u chorych we wstrząsie kardiogennym leczenie operacyjne ciągle pozostaje metodą z wyboru. Nasz ośrodek regularnie wykonuje operacje embolektomii tętnicy płucnej, których rezultat jest lepszy, niż podają aktualne doniesienia. W związku z tym przeprowadziliśmy retrospektywną analizę wyników leczenia chorych z zatorem tętnicy płucnej i rodzaju anestetyków stosowanych podczas leczenia.

więcejNiestabilność hemodynamiczna u chorych poddawanych embolektomii tętnicy płucnej: doświadczenia własne 


Pacjenci z przewlekłą obturacyjną chorobą płuc (POChP) charakteryzują się zwiększonym ryzykiem powikłań pooperacyjnych. W badaniu tym chcieliśmy oszacować korzyści z unikania znieczulenia ogólnego na rzecz anestezji regionalnej w tej grupie chorych.

więcejAnestezja regionalna a znieczulenie ogólne u chorych z przewlekłą obturacyjną chorobą płuc: czy unikanie znieczulenia ogólnego zmniejsza ryzyko powikłań pooperacyjnych? 


Znieczulenie regionalne jest „złotym standardem” do zabiegu cięcia cesarskiego. Jest ono jednak często przeciwskazane u pacjentek z towarzyszącym schorzeniem neurologicznym. Celem pracy była analiza zagadnień związanych z wyborem metody znieczulenia do cięcia cesarskiego u pacjentek ze schorzeniami takimi jak choroby kręgosłupa, padaczka, stwardnienie rozsiane itp.

więcejZnieczulenie do cięcia cesarskiego u pacjentek z choroba neurologiczną – 10 lat doświadczeń 


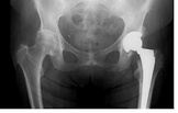
Wybór techniki znieczulenia u osób poddawanych wymianie stawu biodrowego jest nadal dyskusyjny. Założeniem tego badania było udowodnienie, że znieczulenie ogólne niesie za sobą więcej korzyści w bezpośrednim okresie po znieczuleniu niż blokada rdzeniowa.

więcejCałkowite znieczulenie dożylne versus znieczulenie podpajęczynówkowe do zabiegu wymiany stawu biodrowego, kontrolowane badanie z randomizacją. 


Copyright © 2011-2026 Via Medica. Wszystkie prawa zastrzeżone. VIA Medica, ul. Świętokrzyska 73, 80-180 Gdańsk, tel. 58 320 94 94,